金属を使わないで、身体にやさしいメタルフリー治療とは、銀歯などの金属を使わないで、オールセラミックやジルコニアなどのノンメタルの素材を使って治療をすることです。
これにより金属アレルギーや金属イオンによる歯ぐきの黒ずみが解消されます。
また、見た目も金属を使用しないので、白く天然歯に近い自然な仕上がりを得ることができます。
今後の歯科治療は金属の治療から金属を使用しない“メタルフリー”の治療がスタンダードとなっていくと言われています。
私ども海谷歯科医院でもメタルフリーの治療を行っておりますので、ご興味がある方はお気軽にご相談ください。
虫歯などで神経を取ってしまった歯は、歯を支えるために土台を作ります。

従来では金属の土台(メタルコア)が用いられてきましたが、生体親和性の高いファイバーコアを用いることによって、金属アレルギーや電気の発生を防ぐことができます。
また、金属の色が透けては困る前歯の修復にも適しており、歯根が割れてしまうのを防ぐのにも有効です。

プロセラRはCAD/CAMによる審美補綴システムです。
オールセラミックス(ジルコニア)の素材をコンピューターを用い設計から加工まで行うITシステムです。
プロセラRの技術と、セラミック素材のもつすべての可能性を利用することにより、従来の手で削るより仕上がりが極めて自然なものとなります。
修復歯およびインプラントの究極の審美性と自然な仕上がりに極めて重要な蛍光性、乳光性および光の自然な透過性が実現したのがプロセラRシステムです。
硬質レジン
メリット
デメリット
メタルボンド
メリット
デメリット
ハイブリットセラミック
メリット
デメリット
オールセラミック(ジルコニア)
メリット
デメリット
ここでは金属を使用しないオールセラミックス(ジルコニア)の治療のバリエーションを紹介します。
オールセラミック クラウン

口腔内のすべての歯に適用できる方法で、土台となる歯の外側に人工歯としてすっぽりかぶせるタイプです。
セラミックのみで作られているので金属アレルギーの方に有効ではないでしょうか。
インプラントとの併用で天然歯とほとんど見分けがつかない仕上がりが期待できます。
オールセラミック ブリッジ

オールセラミックによるブリッジは強度の高いジルコニアを使用し、透過性に優れた素材のため審美性に優れ、見た目が重要になる前歯部の症例に適応しています。
オールセラミック ラミネート

前歯のエナメル層を薄く削り、その上にセラミックを貼り付けるものです。
こちらもセラミックのみで作られているので金属アレルギーの方に有効だと思われます。
よく目立つ前歯でもプロセラ・オールセラムのもつ理想的な光の透過性が高い審美性を発揮します。

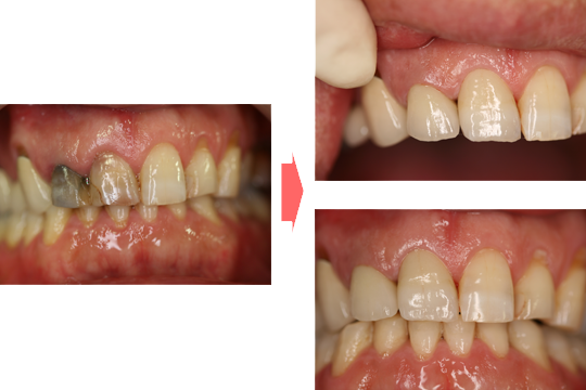
前歯部をオールセラミックによる審美的、機能的な回復をはかったケースです。
前歯ということで歯ぐきのラインにも気をつけより自然な仕上がりにしました。

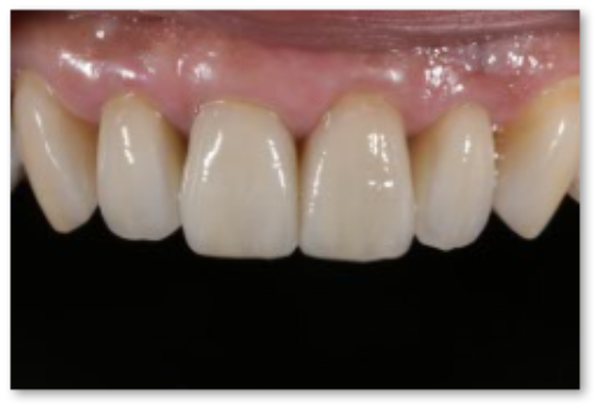
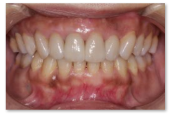
前歯部をオールセラミックによる審美的、機能的な回復をはかったケースです。
前歯ということで歯ぐきのラインにも気をつけより自然な仕上がりにしました。
歯の黄ばみは、先天性のもの、薬物、損傷によるもの、食生活や加齢の影響など様々な原因で起こります。
ホワイトニングには大きく分けて、一般的にご自宅で行うホームホワイトニングと歯科医院で行うオフィスホワイトニングの2種類あります。
また、この2つの方法を併用することもあります。
あなたのライフスタイルに合わせてこの2種類の方法で歯を白くすることができます。
歯科医師の指導を受け、ご自分でも自宅で行っていただきながら白い歯を取り戻していただく方法です。
なかなか時間が取れないという方でも、ライフスタイルにあわせてお好きな時間に歯を白くすることができます。
濃度の薄いジェル(ホワイトニング剤)を長期間歯面にあててゆっくり、やさしく、持続的に脱色します。
ジェルの成分(過酸化尿素)はもともと口内炎の消毒に使われていたものですから、安全で歯の構造を変えずに、歯が白くなります。
その安全性については、FDA(アメリカ食品医薬品局)、ADA(アメリカ歯科医師会)でも認められております。
個人差はありますが、毎日行った場合、2~4週間、2~3日に1回行う場合、1~2カ月くらいでじわじわと白くなっていきます。
| 場所 | ご自宅で患者様が行うことができる |
|---|---|
| 期間 | 毎日の場合:2~4週間 2~3日に1回の場合:1~2か月 |
| 効果 | 徐々に色が変化するため、効果はオフィスより長い |

ホームホワイトニングの症例写真です。白く美しい歯に戻りました。
1~3回の来院で歯が白くなっていきます。
歯の色がもともと白っぽい患者様は1回の来院で結構ですが、歯の色がかなり黄色っぽい・灰白っぽい患者様は3~4回の来院が必要です。詳しくはおたずねください。
| 場所 | 歯科医院で専用の機械を用いて行う |
|---|---|
| 期間 | 1~3回の来院で歯が白くなってきます |
| 効果 | 色の持続性はホームホワイトニングよりやや劣ります |
質問をクリックすると回答をご覧いただけます。
※<タッチアップ> オフィスブリーチングなら8分の照射、ホームブリーチングでは1~2回(1回30分)の使用をさします。
<ホームブリーチング>
薬剤により、のどがいがいがした感じや歯肉が炎症をおこす事がまれにありますが、すぐにおさまります。
又、オフィスブリーチング同様、一時的に”ズキッ”とした感じがでる事がありますが、1~2日中断する事ですぐにおさまります。
※当院では”ズキッ”とした痛み防止の薬剤をお渡ししております。
1人1人にあったバランスのとれた歯、歯並び歯ぐきを患者さんと選んでいくことが大切です。
白い歯が1、2本ういていては審美とはいえません。
審美歯科と言えば、ただ歯が白いと奇麗とかだけでなくて、口の中の調和のとれた自然な状態かつ、歯が持つ機能性を高め、その上で見た目の美しさ審美性を追求する治療と私たち海谷歯科医院は考えています。
輝く白い歯にすること
歯を白くすることは、その人の印象に大きく関わることです。
タバコのヤニで歯が黒ずんでいる人よりも、白く綺麗な歯の人の方が好印象とされます。
歯が汚れで黒ずんでいる人はクリーニングやホワイトニングで白くきれいな歯を手に入れましょう。
また、歯が欠けていたり、銀の被せ物が気になる人はセラミックの素材を使用すると良いでしょう。
整った歯並びにすること
笑いたくても歯並びが悪いと、大きく口をあけて笑えません。
歯並びを整えることによってコンプレックスを解消しましょう。
きれいな歯ぐきにすること
せっかく白く綺麗な歯にしても黒ずんだ歯ぐきや歯ぐきのラインが整ってないと見た目が半減してしまいます。
白く綺麗な歯にするには歯ぐき色やラインも重要になります。



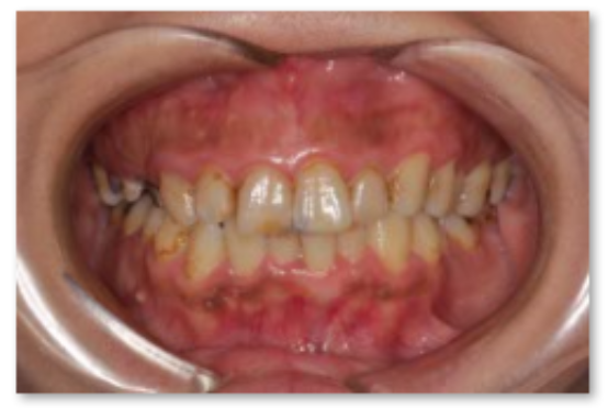
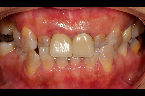
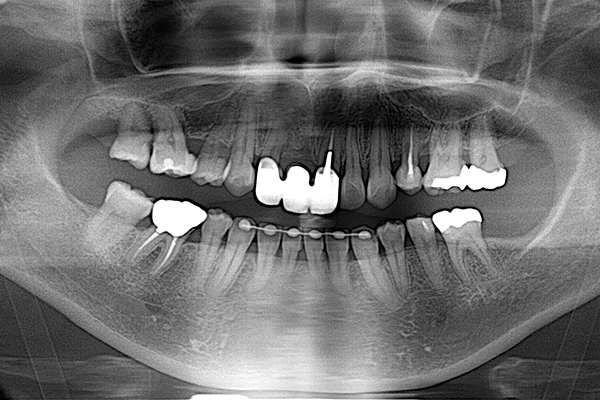
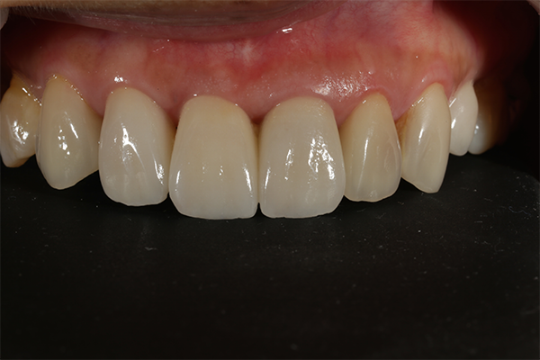
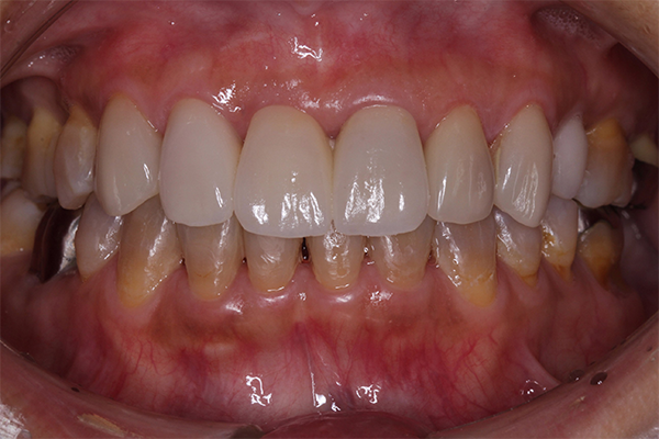
主訴は「全ての歯を綺麗に治したい」とのことで来院されました。診断の結果、複合的な問題が見つかり、歯周病治療、矯正治療等複数の治療を約3年ほど順番に進めていきました。最終的には歯の色味も回復させることができ、患者さんにも満足していただけました。
| 患者 | 45歳 女性 |
|---|---|
| 主訴 | 前歯が取れた。 |
| 診断 | このケースはかなりひどい叢生があり、矯正治療が必須であると説明。 |
| 治療内容 | 左上5は保存不可能のため、右上より5を左上に移植 矯正終了後補綴治療 |
| 治療期間 | 約3年半 |
| 費用 | 200万円 |






ご予約・お問い合わせ03-5261-1515
| 診療時間 | 月 | 火 | 水 | 木 | 金 | 土 | 日 | 祝 |
|---|---|---|---|---|---|---|---|---|
| 10:00~13:00 | ● | ● | ● | ● | ● | - | - | - |
| 14:30~19:30 | ● | ● | ● | ● | - | - | - | - |
| 14:30~19:00 | - | - | - | - | ● | - | - | - |