歯の矯正治療とは、単に容姿を良くするための美容整形ではありません。
歯並びを整え心身ともに健康を増進する医療です。
歯ならびが良くなると歯をきれいに磨けるだけでなく、口の中の健康はもちろん、消化を助け、からだ全体の健康に良い結果をもたらします。
きれいに並んだ歯で、明るく健康に笑顔を得ること、それが矯正治療の大きな役割です。

近年歯並びが悪く、よく咬めない子供が増えています。
また、「学校歯科検診」でも、虫歯以外に歯並びについてもチェックするようになりました。
それだけに歯並びの大切が深く認識されるようになって来ています。
歯並びを治す矯正治療は、病気を治すのと同じように歯の正常な咀嚼機能を取り戻し、健康な身体と小心をつくるための歯科治療なのです。
そして治療が完了すれば、健全な咀嚼器官と共に健康美あふれる笑顔も手に入れる事が出来ます。
八重歯や出っ歯、受け口などの悪い歯並びを総称して不正咬合といいます。
この不正咬合は、
など心身に大きな影響を与えます。逆に良い歯並び、良い咬みあわせを正常咬合といいます。
矯正治療は不正咬合を正常咬合にする歯科治療です。
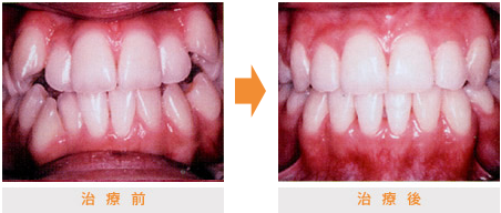
[▼CASE1] 乱ぐい歯・八重歯(叢生:歯並びが乱れてデコボコしている)

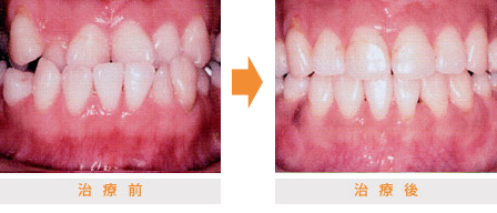
[▼CASE2] 受け口(反対咬合:上下の咬み合わせが逆になっている)

[▼CASE3] 開咬(反対咬合:前歯が咬み合わない)

成長期にある子供は、成長・発育を利用しながら治療を施せるため、条件がより有利ですが、歯を支えている組織が健康であれば何歳からでも矯正治療は可能です。
矯正治療後の当院の患者様

当院で矯正治療をされた大人の患者様です。施術後美しい歯並びに生まれ変わりました。
最近では歯の色に類似した半透明のセラミックブラケット(審美ブラケット)も扱っています。
従来のメタルブラケットと違い審美性に優れ、口元が気になりません。
また、舌側矯正治療では、歯の裏側に矯正装置をつけるため、審美的には最も優れていますが、すべての患者さんに適応するものではありません。

メタルブラケット

セラミックブラケット
口腔内の変化
[▼CASE2] 受け口(反対咬合:上下の咬み合わせが逆になっている)

口元の変化
矯正治療により横顔がキレイになっています。
矯正治療について正しく理解し、自分の歯を健康で美しい歯並びにしたいと思ったときがスタートです。

1. 初診・相談 (カウンセリング)
2. 検 査 (歯形模型やレントゲンなど資料採取)
3. 歯診断(治療方法・装置・期間・費用の説明)
4. 治 療(装置装着・動的処置)
5. 保 定(歯並びの安定・口腔内定期観察)
ご予約・お問い合わせ03-5261-1515
| 診療時間 | 月 | 火 | 水 | 木 | 金 | 土 | 日 | 祝 |
|---|---|---|---|---|---|---|---|---|
| 10:00~13:00 | ● | ● | ● | ● | ● | - | - | - |
| 14:30~19:30 | ● | ● | ● | ● | - | - | - | - |
| 14:30~19:00 | - | - | - | - | ● | - | - | - |